Mắt bị yếu cơ là gì? Giải pháp khắc phục sụp mi và phục hồi thị lực
Mắt bị yếu cơ là một thuật ngữ y khoa dùng để chỉ sự suy giảm khả năng vận động của các nhóm cơ chịu trách nhiệm nâng mí mắt, phổ biến nhất là cơ nâng mi trên. Tình trạng này không chỉ gây ra hiện tượng sụp mi, khiến gương mặt trông mệt mỏi, u buồn mà còn ảnh hưởng trực tiếp đến chức năng thị giác do con ngươi bị che khuất một phần hoặc hoàn toàn. Bài viết này sẽ phân tích chi tiết bản chất của hội chứng yếu cơ mắt, các dấu hiệu nhận biết điển hình và lộ trình điều trị chuyên sâu, giúp bạn nhanh chóng lấy lại đôi mắt khỏe mạnh, tinh anh cùng một tầm nhìn rõ nét nhất.

Giải mã hiện tượng mắt bị yếu cơ là gì và cơ chế bệnh lý chuyên sâu
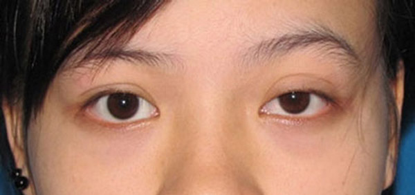
Dưới góc độ giải phẫu học, mắt bị yếu cơ thường liên quan đến sự mất trương lực hoặc tổn thương của cơ nâng mi trên (Levator Palpebrae Superioris). Bản chất của tình trạng này có thể xuất phát từ yếu tố bẩm sinh do cơ không phát triển hoàn thiện từ trong bào thai, hoặc do quá trình lão hóa, chấn thương và các bệnh lý thần kinh làm đứt gãy sự liên kết giữa dây thần kinh điều khiển và mô cơ. Khi cơ này bị yếu, mí mắt sẽ sụp xuống thấp hơn vị trí bình thường (khoảng 1-2mm so với rìa giác mạc phía trên), khiến người bệnh phải thường xuyên rướn mày hoặc ngửa cổ để có thể quan sát rõ hơn.
Cơ chế hoạt động của việc can thiệp y khoa cho mắt bị yếu cơ là tái thiết lập lại lực nâng của mí mắt. Tùy vào mức độ suy yếu, bác sĩ sẽ áp dụng các kỹ thuật như tiểu phẫu rút ngắn cơ nâng mi đối với những trường hợp cơ vẫn còn khả năng co giãn. Nếu cơ đã hoàn toàn mất chức năng (yếu cơ nặng), phương pháp đính cơ trán bằng các vật liệu sinh học hoặc chỉ silicon sẽ được sử dụng để mượn lực từ cơ trán hỗ trợ việc mở mắt. Đây là một quy trình can thiệp chuyên sâu, đòi hỏi sự tinh tế trong việc tính toán lực kéo để đảm bảo sau khi hồi phục, hai mắt có độ mở cân đối và không gây ảnh hưởng đến chức năng bảo vệ nhãn cầu.
Đối tượng phù hợp thực hiện can thiệp và quy định chống chỉ định
Việc điều trị mắt bị yếu cơ cần được cá nhân hóa dựa trên độ tuổi và nguyên nhân gây bệnh để đảm bảo tính an toàn lâu dài.
Những trường hợp cần sớm thực hiện điều chỉnh mắt bị yếu cơ:
-
Trẻ em bị sụp mi bẩm sinh một bên hoặc hai bên làm cản trở tầm nhìn, có nguy cơ dẫn đến nhược thị.
-
Người lớn tuổi gặp tình trạng cơ nâng mi bị giãn mỏng, trùng nhão do quá trình lão hóa tự nhiên.
-
Khách hàng bị yếu cơ mắt sau các chấn thương vùng hốc mắt hoặc sau khi thực hiện các ca phẫu thuật mắt không thành công.
-
Người mắc hội chứng sụp mi do các bệnh lý thần kinh đã ổn định và được bác sĩ chuyên khoa chỉ định can thiệp thẩm mỹ.
-
Những người gặp khó khăn trong sinh hoạt, lái xe hoặc đọc sách do mí mắt luôn trong trạng thái rủ xuống.
Các trường hợp chống chỉ định hoặc cần thận trọng đặc biệt:
-
Người đang mắc bệnh nhược cơ (Myasthenia Gravis) tiến triển chưa được kiểm soát bằng thuốc.
-
Bệnh nhân có các vấn đề về bề mặt nhãn cầu như khô mắt mức độ nặng, viêm loét giác mạc hoặc liệt dây thần kinh số VII gây hở mi.
-
Phụ nữ đang mang thai hoặc người đang mắc các bệnh lý nhiễm trùng cấp tính tại vùng mặt.
-
Những người mắc các bệnh mãn tính nặng chưa ổn định như tiểu đường biến chứng, tim mạch hoặc các rối loạn đông máu y khoa.
-
Khách hàng có tâm lý không ổn định hoặc có kỳ vọng quá cao vượt xa khả năng phục hồi của cơ học nhãn cầu.
Những rủi ro tiềm ẩn và nguyên tắc phòng tránh biến chứng y khoa
Can thiệp cho tình trạng mắt bị yếu cơ là một kỹ thuật khó trong phẫu thuật tạo hình mắt. Rủi ro đáng lo ngại nhất là biến chứng hở mi (Lagophthalmos), xảy ra khi bác sĩ rút ngắn cơ quá mức hoặc treo mí quá cao, khiến mắt không thể khép kín khi ngủ. Điều này dẫn đến nguy cơ khô giác mạc, loét giác mạc và ảnh hưởng nghiêm trọng đến thị lực. Ngoài ra, các vấn đề như hai mắt không cân đối, nếp mí bị biến dạng hoặc hiện tượng tụ máu hốc mắt cũng có thể xảy ra nếu kỹ thuật bóc tách không chuẩn xác.
Để phòng tránh những rủi ro này, nguyên tắc hàng đầu là khách hàng phải thực hiện thăm khám tại các bệnh viện có chuyên khoa mắt hoặc phẫu thuật thẩm mỹ uy tín. Việc đo đạc lực cơ nâng mi (Levator function) trước khi mổ là bước sống còn để lựa chọn phương pháp can thiệp phù hợp. Lời khuyên ngắn gọn cho bạn là sau khi thực hiện, cần sử dụng nước mắt nhân tạo thường xuyên để dưỡng ẩm cho mắt và tuân thủ tuyệt đối lịch tái khám để bác sĩ theo dõi độ khép của mí mắt, đảm bảo an toàn tối đa cho nhãn cầu.
Các tiêu chí thực hiện thành công và nguyên tắc phục hồi đôi mắt tinh anh
Thành công của một ca điều trị mắt bị yếu cơ được đánh giá dựa trên sự cải thiện tầm nhìn và vẻ đẹp thẩm mỹ tự nhiên. Nguyên tắc cốt lõi là mí mắt phải đạt được độ cao chuẩn sao cho riềm mí chỉ che phủ tối đa 1-2mm giác mạc, giúp con ngươi được giải phóng và ánh nhìn trở nên tươi sáng hơn. Tiêu chí của một đôi mắt phục hồi tốt là nếp mí rõ nét, hai bên cân đối và quan trọng nhất là bệnh nhân có thể nhắm mắt một cách thoải mái, không bị căng tức hay lộ lòng trắng khi ngủ.
Bác sĩ phẫu thuật cần có sự tinh tế trong việc điều chỉnh lực cơ ngay trong lúc mổ, thường yêu cầu khách hàng ngồi dậy và nhắm mở mắt để kiểm tra độ cân xứng. Việc bảo tồn tối đa các mô lành xung quanh và khâu đóng vết thương bằng chỉ siêu mảnh giúp giảm thiểu sẹo, mang lại diện mạo trẻ trung mà không để lộ dấu vết can thiệp. Sự kết hợp giữa phục hồi chức năng vận động và kiến tạo nếp mí thẩm mỹ chính là chìa khóa giúp khách hàng tự tin hơn trong cuộc sống.
Xem thêm: Phẫu thuật nâng mí mắt là gì? Nâng ở đâu an toàn nhất?
Chuẩn bị gì trước khi thực hiện quy trình điều chỉnh mắt bị yếu cơ?
Sự chuẩn bị kỹ lưỡng về thể chất giúp ca phẫu thuật diễn ra thuận lợi và hạn chế các phản ứng phụ:
-
Kiểm tra chức năng mắt toàn diện: Thực hiện các bài test về độ mở của mắt, khả năng vận động nhãn cầu và tình trạng bài tiết nước mắt.
-
Ngừng các loại thuốc kích thích: Dừng uống rượu bia, thuốc lá và các thực phẩm chức năng có chứa thành phần gây loãng máu ít nhất 2 tuần trước khi can thiệp.
-
Khai báo tiền sử bệnh lý thần kinh: Thông báo rõ cho bác sĩ nếu bạn từng mắc các chứng bệnh gây yếu cơ hoặc các đợt sụp mi thoáng qua trong quá khứ.
-
Vệ sinh vùng mắt: Không trang điểm, không sử dụng kính áp tròng và giữ vùng da quanh mắt luôn sạch sẽ vào ngày phẫu thuật.
-
Chuẩn bị tâm lý: Hiểu rõ rằng đây là kỹ thuật điều chỉnh chức năng, sự phục hồi cần thời gian để cơ và dây thần kinh thích nghi với trạng thái mới.
Quy trình 6 bước khắc phục mắt bị yếu cơ chuẩn y tế
Tại các cơ sở chuyên sâu, quy trình được thực hiện nghiêm ngặt theo các tiêu chuẩn y khoa khắt khe:
-
Bước 1: Khám lâm sàng và đo lực cơ: Xác định mức độ yếu cơ để lên phác đồ rút ngắn cơ hoặc treo cơ trán phù hợp.
-
Bước 2: Sát khuẩn và vệ sinh vùng mổ: Đảm bảo môi trường vô trùng tuyệt đối để ngăn ngừa các biến chứng viêm nhiễm.
-
Bước 3: Gây tê cục bộ chuyên dụng: Sử dụng thuốc tê liều lượng chuẩn giúp khách hàng hoàn toàn thoải mái trong suốt ca mổ.
-
Bước 4: Tiến hành kỹ thuật điều chỉnh cơ: Bác sĩ bóc tách sâu vào lớp cơ nâng mi, thực hiện cắt ngắn hoặc khâu đính lại để tăng sức căng cho mí mắt.
-
Bước 5: Căn chỉnh độ cân bằng: Bệnh nhân được yêu cầu nhắm mở mắt để bác sĩ điều chỉnh nếp mí và độ hở sao cho đạt mức an toàn và thẩm mỹ nhất.
-
Bước 6: Chăm sóc hậu phẫu và tái khám: Chườm lạnh, tra thuốc mỡ bảo vệ giác mạc và hướng dẫn các bài tập vận động mắt nhẹ nhàng để nhanh ổn định.
Tóm lại, thắc mắc về tình trạng mắt bị yếu cơ là gì đã được giải đáp rõ ràng dưới góc độ y khoa và thẩm mỹ hiện đại. Việc nhận diện sớm và can thiệp đúng lúc không chỉ giúp bạn cải thiện diện mạo, xóa bỏ vẻ u sầu mà quan trọng hơn là bảo vệ và phục hồi thị lực một cách tối ưu. Tuy nhiên, hành trình tìm lại đôi mắt tinh anh luôn đòi hỏi sự đồng hành của những bác sĩ giàu kinh nghiệm và sự tuân thủ nghiêm ngặt của chính bạn. Hãy trân trọng “cửa sổ tâm hồn” bằng cách lựa chọn những phương pháp điều trị khoa học tại những địa chỉ uy tín nhất. Một đôi mắt khỏe mạnh và linh hoạt chính là nguồn năng lượng tích cực giúp bạn tự tin tỏa sáng và thành công hơn trong mọi phương diện của cuộc sống.